Pneumothorax

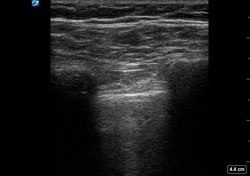
A pneumothorax, or collapsed lung, occurs when air leaks into the space between the lung and chest wall, causing the lung to partially or completely deflate. In a medical setting, prompt diagnosis is crucial to prevent respiratory distress. Ultrasound is a valuable tool for quick assessment, revealing characteristic signs like the absence of lung sliding or the presence of a “barcode” or “stratosphere” sign in M-mode, aiding rapid clinical decisions.

Ultrasound imaging for pneumothorax offers a non-invasive, real-time method for detection, especially in emergency and critical care. Key ultrasound findings guide clinicians in identifying this potentially life-threatening condition, facilitating timely intervention and improved patient outcomes. Understanding these signs is essential for medical professionals utilizing point-of-care ultrasound for lung pathology.

Clinical Author

Dr. Emma Khabure is an experienced Family Physician in Kenya with a dedicated focus on point-of-care ultrasound (POCUS) across clinical settings. Over the past 3 years, Dr. Emma Khabure has…

Read More
Other Definitions
Want to learn more?

POCUS Essentials Course

Learn More
Related Definitions
Other Definitions
Cardiac

Contribute to the POCUSpedia

Help us improve the accuracy and completeness of the POCUSpedia. Your contributions help maintain the highest standards of factual content.
Contributors who provide verified corrections or additions will be credited with a link to their chosen web address. We appreciate your expertise and time in helping us maintain accurate information about POCUS

As a [Specialty] clinician, POCUS has completely changed how I practice. GUSI’s training gave me the confidence to make faster, more accurate decisions for my patients.

JONATHAN DOE
Private Practice Owner

Suggest a Correction

* Required fields

“”