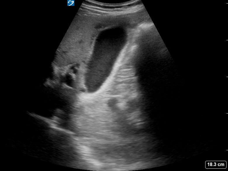
Pericholecystic fluid

Pericholecystic fluid, in abdominal ultrasound, refers to an abnormal collection of fluid surrounding the gallbladder. Its presence is a key indicator of gallbladder inflammation, commonly seen in acute cholecystitis, a condition causing severe abdominal pain. Sonographers meticulously assess this fluid for its location, amount, and characteristics to aid in accurate diagnosis.

This fluid accumulation is a crucial diagnostic sign for healthcare professionals. Early detection via ultrasound helps guide timely medical intervention and treatment strategies, preventing further complications related to gallbladder disease and improving patient outcomes in abdominal imaging.

Clinical Author

Bruno Vargas is originally from Mexico City. He first trained as an Emergency Medical Technician at la Universidad Panamericana (UP) before starting medical school at la Universidad Nacional Autónoma de…

Read More
Other Definitions
Want to learn more?

POCUS Essentials Course

Learn More
Related Definitions
Other Definitions
Cardiac

Contribute to the POCUSpedia

Help us improve the accuracy and completeness of the POCUSpedia. Your contributions help maintain the highest standards of factual content.
Contributors who provide verified corrections or additions will be credited with a link to their chosen web address. We appreciate your expertise and time in helping us maintain accurate information about POCUS

As a [Specialty] clinician, POCUS has completely changed how I practice. GUSI’s training gave me the confidence to make faster, more accurate decisions for my patients.

JONATHAN DOE
Private Practice Owner

Suggest a Correction

* Required fields

“”